OBJETIVO
Relatar um caso de hiperesplenismo de etiologia mista (esquistossomose e hepatite C), tratado com êxito por embolização percutânea.
MÉTODO
As informações contidas neste trabalho foram obtidas por meio de revisão do prontuário, de registro fotográfico do procedimento e de revisão da literatura.
RELATO DE CASO
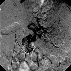
R.F.C, sexo masculino, 68 anos, procedente de Maceió – AL, é portador de hepatite C (genótipo 3a) e de esquistossomose mansônica hepatoesplênica com quadro de hiperesplenismo. Ultrassonografia com doppler de abdome total evidenciou hepatomegalia com sinais de doença parenquimatosa, esplenomegalia e veia esplênica de calibre aumentado. À endoscopia digestiva alta, foi demonstrada gastropatia da hipertensão portal severa, sem erosões antrais, e no hemograma, plaquetopenia (44.600 plaquetas/mm3). O paciente foi submetido à embolização da artéria esplênica (duas sessões) para controle do hiperesplenismo. Com a embolização, 60% do baço foi desvascularizado (Figura 1), havendo aumento do número de plaquetas para 98.200/mm3, e 34 meses após, para 103.000 plaquetas/mm3, possibilitando o tratamento da hepatite.
DISCUSSÃO
O hiperesplenismo caracteriza-se pela associação de esplenomegalia, anemia, plaquetopenia e leucopenia, com hiperplasia da medula óssea como resposta compensatória. Em pacientes portadores de hepatite C, o tratamento com interferon e ribavirina pode agravar ainda mais a plaquetopenia, aumentando o risco de sangramentos. Por isso, o hiperesplenismo constitui fator limitante à administraçäo de doses terapêuticas dessas drogas. A embolização esplênica percutânea, procedimento minimamente invasivo, promove o aumento da contagem de plaquetas, facilitando a adesão ao tratamento com interferon em pacientes com hepatite C crônica.
CONCLUSÃO
O controle do hiperesplenismo por embolização percutânea da artéria esplênica favoreceu o tratamento da hepatite C, sem necessidade de esplenectomia.
REFERÊNCIAS BIBLIOGRÁFICAS
(1) PETROIANU, A.; OLIVEIRA, A. E.; ALBERTI, L. R.. “Hiperesplenismo” em hipertensão porta por esquistossomose mansônica. Rev. Bras. Hematol. Hemoter., São José do Rio Preto , v. 26, n. 3, 2004 .
(2) TAKAHARA, M. et al. Partial splenic embolization facilitates the adherence to peginterferon in chronic hepatitis C with thrombocytopenia. Intern Med., 50(22), p.2731-6, 2011.

