Introdução
Dificuldades de acesso vascular são freqüentes em pacientes com insuficiência renal crônica em hemodiálise, sendo uma dais principais causas de internações deste pacientes. O uso crônico de cateteres provoca obstruções venosas o que reduz ainda mais as possibilidades de acesso vascular nestes pacientes. O acesso direto à veia cava inferior para colocação de cateteres é uma prática descrita há cerca de duas décadas, utilizada em pacientes adultos e pediátricos. Como acesso para hemodiálise constitui uma técnica relativamente recente e de experiência limitada.
Objetivo
Descrever o acesso translombar à veia cava inferior para implante de cateter para hemodiálise.
Relato do Caso
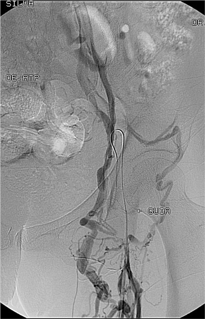
Paciente feminino, 50 anos, portadora de insuficiencia renal terminal em tratamento em outra instituição, já com fibrose peritoneal e com múltiplas confecções de fístulas arteriovenosas nos membros superiores sendo a última fístula um enxerto bráquio-jugular direito pois a paciente apresentava oclusão das veias subclávias. Tal enxerto arteriovenoso havia trombosado há 5 dias e não ocorreu sucesso na tentativa de trombectomia cirúrgica. Sem realizar diálise a paciente apresentava sinais de uremia (confisão mental e sonolência), anasarca e tinha potássio de 8.0mg/dl quando foi solicitado nossa avaliação nesta outra instituição. Encaminhado a paciente para sala de ultrassonografia onde foi avaliado as veias jugulares, subclávias e femorais, todas mostraram-se ocluídas. Em virtude da urgência dialítica foi implantado um cateter de duplo lúmen na veia poplítea direita guiado por ultrassonografia. Foi realizado hemodiálise por três dias consecutivos, sendo alcançado fluxo de 150 ml/min. Houve melhora clínica e dos níveis urêmicos e de potássio. A paciente foi então transferida para nossa instituição onde foi submetida à flebografia dos membros superiores, não ocorrendo opacificação das veias axilares, subclávias e veia cava superior. Realizado tentativa de recanalizacão da veia femoral direita sem sucesso. Optado pelo implante translombar de cateter de duplo lúmen tipo permcath. O procedimento transcorreu sem intercorrências e a paciente teve alta no dia seguinte. Após 9 meses de acompanhamento a paciente apresentou infecção do cateter sendo trocado por um novo cateter via translombar.
Conclusão
O acesso translombar a veia cava inferior para implante de cateter para hemodiálise é uma alternativa viável e segura aos pacientes sem disponibilidade de acessos vasculares convencionais.




