Introdução
A isquemia mesentérica aguda é uma doença que pode levar ao óbito se não tratada precocemente, entretanto seu diagnóstico nos estágios iniciais é difícil, sendo necessário um alto índice de suspeição. Tradicionalmente, o tratamento da isquemia mesentérica exige a reconstrução vascular cirúrgica. Entretanto com o advento da angioplastia transluminal percutânea a perviedade dos vasos mesentéricos pode ser recuperada através de procedimento endovascular.
Objetivo
Descrever o tratamento endovascular da isquemia mesentérica aguda em paciente portadora de trombose da artéria mesentérica superior.
Relato do caso
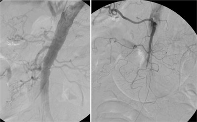
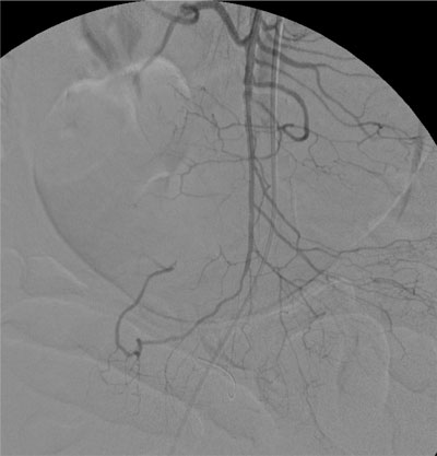
Paciente de 84 anos, sexo feminino, hipertensa, portadora de fibrilação atrial crônica e marcapasso definitivo associado a insuficiência coronariana. Procurou atendimento por apresentar forte dor abdominal em cólica, iniciada há poucas horas e que não cessou com uso de analgésicos tradicionais. Ao exame físico, observou-se ritmo cardíaco irregular por fibrilação atrial crônica e dor abdominal difusa à palpação profunda, sem sinais de descompressão dolorosa do abdome. Indicado estudo angiográfico realizado cerca de 3 horas do inicio da dor, que demonstrou oclusão do terço médio da artéria mesentérica superior. Realizado tratamento endovascular, mediante trombólise mecânica associada ao implante de stent em estenose localizada no terço médio da artéria mesentérica superior, sem intercorrências. Paciente permaneceu internada em Unidade de Terapia Intensiva, encontrando-se hemodinamicamente estável no primeiro dia após o procedimento. Entretanto, como os padrões laboratoriais de acidose metabólica e leucocitose com desvio à esquerda permanecessem, foi submetida à laparotomia exploradora sendo encontrado segmento cianótico, sendo optado preventivamente por ressecção de 70 cm de intestino delgado à 2m do ângulo de Treitz sem intercorrências. Após melhora dos padrões clínicos e laboratoriais, recebeu alta da UTI, permanecendo internada no mesmo Hospital. No 10 dia pós operatório a paciente apresentava desconforto abdominal, sendo realizado nova arteriografia que mostrava a perviedade da artéria mesentérica superior. No trigésimo dia pós operatório a paciente se alimentava e apresentava evacuações normalmente mas mantinha desconforto abdominal e leucocitose. Foi submetida a uma nova laparotomia sem achados de isquemia ou de infecção na cavidade.
Conclusão
O tratamento da trombose mesentérica aguda pode ser realizado com sucesso por via endovascular, sem necessidade de laparotomia, de maneira minimamente invasiva. O diagnóstico precoce da isquemia é fundamental para o sucesso do tratamento.



